長期以來,32歲的王小姐備受「漏尿」困擾,被診斷為右腎缺失,輸尿管開口異位,但多年就醫均未能找出原因。最近,在南方醫科大學深圳醫院泌尿外科,醫生幫她揪出了「罪魁禍首」:此前一直被認為不存在的右腎,並為她進行腹腔鏡右側無功能腎、輸尿管切除術,解決多年「漏尿」問題。

5歲女孩用上了「姨媽巾」
從記事起,王小姐就備受「漏尿」困擾,白天漏尿,晚上尿床,父母最開始耐着性子,想着「小孩子都忍不住尿,長大就好了」,但是,滿身的尿騷味並沒有隨着成長褪去,5歲,父母帶她上當地醫院看:「我趴在桌子上,一群醫生圍着看,都不知道是什麼原因。」
無奈,5歲的小女孩從此用上了「姨媽巾」,每天2片,長大後,她形容那種感覺就像「按洗手液那樣,突然泵了出來」。白天她強忍口渴,不敢多喝水;晚上穿上尿不濕,才敢安心睡覺。因為長期濕潤,肛周長滿濕疹,皮膚像蛇皮,幾乎天天都在蛻皮,不是什麼大病,但存在就是困擾。
「你只有一個左腎」!
2009年高考後,王小姐不想帶着這個遺憾上大學,再次踏上求醫之路,做完檢查後,醫生告訴她:「你只有一個左腎」。
正常人左腎、右腎各自連接着一根輸尿管,腎臟產生的尿液經輸尿管流入膀胱,達到一定量後通過尿道排出體外。為什麼會漏尿?醫生診斷為輸尿管開口異位,提出了三種可能:從雙腎到尿道的這條「路」中的某一個環節,比如左腎、膀胱或者「右腎」多出一條輸尿管。
接下來的檢查,排除了前兩種可能,只剩下第三種:「右腎」多出一條管子。但不論醫生怎麼找,都找不到「右腎」,醫生甚至建議她做開腹手術探查。
一聽到開腹,王小姐退縮了,此後,她陸續求醫多家醫院,每次都會成為實習生的圍觀對象,但想像中的「右腎」和那條多出來的輸尿管,始終沒找到。

右腎憑空消失了嗎?
前段時間,王小姐慕名來到了南方醫科大學深圳醫院,找到泌尿外科主任鄭清友,一聽病史,經驗豐富的鄭清友就敏銳地判斷為輸尿管開口異位,幫她開了一個全泌尿系的CT檢查,尋找異位輸尿管的位置。他們要做的就是尋找第三種可能性:想像中的「右腎」和那條多出來的輸尿管。
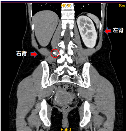
在醫學影像中心,王小姐一躺上去,技師王金電就看到了異常。正常人的腎臟如芒果大小,左右各一,安分地掛在腎區,但是王小姐只有一個左腎,右腎區域一片空白。「獨腎」對影像人來說很常見,大多數人沒有什麼症狀,但王金電瞄了一眼,看到王小姐有「漏尿」,於是多留了個心眼,在腰大肌的旁邊,他敏銳地捕捉到了一個小小的「閃光點」,大小只有正常腎的二十分之一。原來,右腎並沒有憑空消失,而是跑到了盆腔。
這個檢查結果終結了王小姐32年「獨腎」的歷史,幫她找到了傳說中的「右腎」和那根連到陰道里的輸尿管,至此,謎團被揭開:右腎發育不良,右腎異位,右側輸尿管異位開口。
藏匿多年的右腎已經萎縮,功能退化,但每天仍分泌一定量尿液,排出的尿液就通過那根錯搭的輸尿管到達陰道,產生王女士所謂「突然泵了出來」的那種感覺,它已經沒有用處,留着只會增加病變幾率,醫生建議切掉。
明確診斷後,經過術前充分準備,泌尿外科鄭清友主任團隊為王女士實施了腹腔鏡右側無功能腎、輸尿管切除術。術中,在肚子上打3個鑰匙孔大小的小洞,歷時不到1個小時就完成手術。術後,護理團隊及時介入,為王女士制定了個性化快速康復護理,現在,王女士已經出院,再也沒有漏尿的煩惱了。
異位輸尿管在臨床上並不罕見,發病率大約1/4000,多發生在女性身上,大多合併上尿路畸形,如腎重複畸形、異位腎或發育不良。
在人類胚胎早期,如果輸尿管芽的發出位置異常,就可能導致輸尿管開口遷移異位。女性異位開口多位於前庭、陰道各遠端尿道,可造成漏尿和尿路感染;男性異常開口多位於後尿道、尿道括約肌之上,不會漏尿,以尿路感染和反覆附睾炎多見。
一般小時候發現,都能及時處理,王女士之所以比較特殊,是因為她的右腎藏得太隱匿,離正常位置太遠,加上萎縮體積小形態失常,如果不是做了腹部CT檢查,很難發現。
家長如果發現自家女娃有泌尿系統發育異常、有正常排尿,同時有持續性尿失禁、常伴有外陰部皮膚濕疹、糜爛等問題,需引起重視,儘早就醫。(記者 林麗青 通訊員 林奕旋)