夏日來臨
讓人煩惱的不僅是日漸上升的溫度
還有能曬黑、曬傷人的
紫外線
有些愛美的小仙女們
已經迫不及待地下單防曬噴霧
提前做好對抗炎炎夏日的準備
不過,大件事君提醒大家
防曬噴霧使用不當的話
可是會帶來大麻煩的
就在近日
「深圳市場監管」發布重要提醒

究竟是怎麼一回事?
一起來看看
網紅防曬產品竟致「白肺」?
一定要注意使用方式!
近日
關於「防曬噴霧千萬不要懟臉噴」等
多個熱搜話題引發網友關注
及熱烈討論


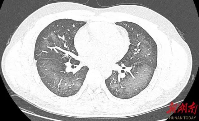
湖南長沙一位20歲小伙在外出前使用了防曬噴霧,在對着面部噴灑時一不小心誤吸,隨即出現胸悶、咳嗽的症狀。
症狀一直持續到第二天仍未好轉,他急忙來到醫院就診。經檢查,肺部CT片顯示該小伙雙肺赫然呈現大範圍白色樣病變,報告提示「白肺」。
「白肺」一般是指重症肺炎在X線或CT檢查下的表現,患者肺部呈現一大片的白色狀態,往往會出現呼吸困難、呼吸衰竭,嚴重者還會出現其他臟器功能障礙。

「白肺」常見於高齡(65歲以上)、免疫力低下、有重要器官慢性病史(如心臟病、中風史、慢性腎臟病、慢性阻塞性肺疾病等)、有多種疾病並存(比如既有高血壓、糖尿病,又有心臟病、肺病、腎功能不全)等人群。
噴個防曬噴霧
肺部怎麼就受損了?
長沙市第三醫院放射影像科的接診醫師表示,除了感染、瀰漫性肺泡出血綜合症等「白肺」最常見的病因外,吸入有害物質如粉塵、噴霧等也可導致肺部出現大範圍白色樣病變。
這位年輕的患者就是因為使用不當,吸入了一部分防曬產品進入肺,導致「白肺」的發生。急診醫生給予吸氧、化痰、抗感染等相關治療後,患者症狀得到明顯改善。
看到這
不少小夥伴心裏咯噔一下
畢竟,偶爾吸入也是在所難免

還有網友表示
還是老老實實塗抹更安全些

不過
大家也不必過度擔心了啦
醫生提醒,偶爾輕微吸入問題不大,如若持續長時間對臉噴霧,並保持正常呼吸,才會有大量吸入肺部造成危害的風險。
其實說到防曬噴霧的大火
明星的「加持」也有一定原因
但很多人的使用方式都是錯誤的!
此前也曾報道過
防曬噴霧稍有不慎
就「引火上身」的事故
防曬噴霧能「噴火」?
注意別「引火上身」
2022年8月10日,遼寧瀋陽,在一戶居民樓里,爸爸在做出門前的準備,給孩子噴防曬噴霧。不料,孩子玩打火機突然點燃,瞬間發生爆燃,火焰包圍孩子整個臉部,場面非常嚇人。經過檢查治療,所幸孩子無大礙,只是皮膚輕度燒傷。

防曬噴霧還能燃燒?
不知又觸及了多少人的知識盲區
它不僅易燃易爆炸
而且威力還不小
讓「藍朋友」用實驗告訴你!
防曬噴霧遇明火
實驗道具:防曬噴霧、打火機。
實驗過程:消防員先拿起一款防曬噴霧,對着空中進行噴灑,點燃打火機。
實驗結果:防曬噴霧有明火靠近時,有大火焰出。
消防提醒:防曬噴霧裏含有易燃物質具有一定的揮發性,使用時,多加注意,並避開火源。


如果這些防曬噴霧噴到了人體的皮膚上
再接觸到明火還會燃燒嗎?
消防員找來了一個雞腿
模擬人的皮膚
將防曬噴霧噴灑在雞腿上
大約5秒後拿出點火器點火
此時雞腿突然着火了
還伴有滋滋的聲響

隨後
消防員拿出了一張紙巾靠近雞腿
結果紙巾也被點燃
整個着火過程持續了大約10秒鐘
10秒後明火自動熄滅
但雞腿表面已被燒得有些焦黃了

防曬噴霧為何會燃燒?
市面上的防曬噴霧,成分里都含有變性乙醇、丁烷、異丁烷等可燃物,遇火就會燃燒。人的皮膚上大量塗抹這種防曬噴霧時,遇到明火便會着火。
不過消防員表示,防曬噴霧裏含有的易燃物質具有一定揮發性。實驗顯示,消防員在一塊豬肉皮上噴灑了大量防曬噴霧,等待大約20秒後再打着點火器,豬肉皮並沒有被點燃。
可見,儘管防曬噴霧存在一定危險性,但使用時稍加注意、避開火源,危險是可以避免的。
那麼
如何正確、安全使用防曬噴霧?
防曬噴霧如何使用?
記住以下這幾點
1、選用溫和無刺激、適合自己膚質的產品。如果對酒精不耐受,不要選用含有酒精的防曬噴霧。
2、因個人膚質不同,首次使用前可以把少量防曬噴霧塗抹在耳後、肘關節內側等部位進行皮試,保持24~72小時,確定無不適反應以後再進行使用。
3、使用防曬噴霧時主要噴灑在身體部位,使用時與皮膚至少保持15~20厘米的距離。使用於面部和頸部時,請先噴灑在手上,然後用手均勻塗抹。若不慎入眼,要立即用水清洗;如有不適要暫停使用。
4、不要在肌膚傷口、紅腫或濕疹等有異常的部位使用防曬噴霧。
5、不要在同一個身體部位近距離(如10厘米內)連續噴射超過3秒,防曬噴霧中的推進劑噴出後會迅速揮發吸熱,長時間或者近距離使用可能會凍傷皮膚。
6、不要在衛生間、車內等狹小密閉不通風的空間內使用,噴灑時要注意通風,使用時緊閉口鼻,勿刻意吸氣,避免大量吸入噴霧。
7、應放在兒童接觸不到的地方,兒童應在成人監護下使用防曬噴霧。建議給兒童選擇配方溫和、標識有兒童化妝品標誌「小金盾」的防曬產品。
8、防曬噴霧中通常含有易燃物質,請存放在陰涼乾燥通風環境中,避免陽光直曬。使用時應遠離火源、熱源、靜電,不得撞擊產品,不得將產品或使用完的空罐刺穿或投入火中。

除了防曬噴霧之外
大家在使用這些夏季日常用品時
一定要注意遠離火源
切勿在密閉空間內使用
以免引起火災
👇👇👇

最後還要提醒愛美的你
在使用防曬產品後
若出現過敏或其他身體不適
應立即停止使用
並及時前往醫院就診

