香港商報
-- 天氣
旅德大熊貓「夢夢」再次懷上雙胞胎

旅德大熊貓「夢夢」再次懷上雙胞胎

責任編輯:鄭嬋娟 2024-08-14 08:08:03 來源:央視新聞客戶端

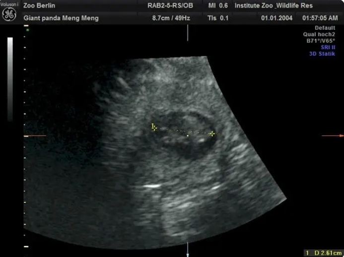
德國柏林動物園當地時間13日宣布,11歲的旅德大熊貓「夢夢」再次懷上雙胞胎。

在園方11日上午進行的超聲檢查中,工作人員清楚地檢測到兩個熊貓胎兒的心跳。目前兩個胎兒身長約2.5厘米。

1.png

柏林動物園介紹,根據目前胚胎的大小,如果一切順利的話,大熊貓雙胞胎預計將於8月底出生。

柏林動物園在聲明中強調,目前仍然是妊娠的早期階段,園方將通過超聲檢查和激素分析密切追蹤胚胎的發育情況、精準確定出生時間。

大熊貓「夢夢」於2017年抵達德國,並在2019年成功誕下雙胞胎「夢想」「夢圓」。

責任編輯:鄭嬋娟 旅德大熊貓「夢夢」再次懷上雙胞胎
香港商報PDF

友情鏈接

承印人、出版人:香港商報有限公司 地址:香港九龍觀塘道332號香港商報大廈 香港商報有限公司版權所有,未經授權,不得複製或轉載。 Copyright © All Rights Reserved
聯絡我們

電話:(香港)852-2564 0768

(深圳)86-755-83518792 83518734 83518291

地址:香港九龍觀塘道332號香港商報大廈